Before & After
Dental Crowns










Dental Implants






Veneers






Lumineers






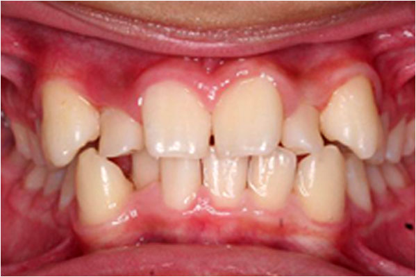
Orthodontics






Wisdom Teeth
Extractions
Our staff has decades of experience in wisdom teeth extraction. So make your appointment...
Read moreDental
Implants
When a tooth is lost the gap left behind initiates a cascade of dental problems ...
Read moreCosmetic
Dentistry
Let us help you gain a whole new smile. Schedule your consultation today.
Read moreDental
Crowns
Surgery is one word patients do not wish to hear when they visit a doctor ...
Read moreWe have an average rating of 5/5 based on 10 reviews
"Dr. Sung and her team are amazing! They go above and beyond for all their patients. I now bring all three of my kids here and even my husband who hates going to the dentist makes it here. She is super thorough and takes the time to explain what she is doing and why. The practice treats us like family and are flexible if we have emergencies or something comes up last minute. I also find their prices incredibly reasonable. Once my daughter had to get a tooth pulled and I got a quote at a West U practice. Dr. Sung did it with care for literally half the amount. I love this practice, I’m a patient for life!"
- Susan Lin
Google Review
"I've been coming here for almost 10 years. I have terrible teeth (thanks, parents) so finding a reliable dentist was super important when I moved to Houston. The first dentist I went to screwed up a simple filling three times. I was done. I was recommended to Dr. Sung by a friend and was glad to see that they were covered by my insurance. Whenever I have dental work done, Dr. Jasmine always shows me the cavity and patiently explains everything she's about to do. The rest of the staff are also always so friendly and helpful. They even open one Saturday a month so if I plan ahead enough, I don't have to take off work to go."
- Rebecca Wei
Google Review
"I was recommended by my cousin who is hard to numb up he had to have a lot of shots to get numb and they didn't last long but removed all his wisdoms pretty good job. I'm much easier and Dr Sung's father Dr. Sung did one tooth, then i had Dr. J my second visit for the second upper wisdom tooth extraction. Both times painless and quick. They gave me antibiotics b4 procedure and prednisone the day of and had minimal swelling and quick recovery from extractions. I'm having problems and pain with my bottom wisdoms and the only people i called about it was the Sung's office..."
- James Truax
Google Review
Let’s Get Virtual!
At Houston Southwest Dental Implant Center,
we offer
Virtual Consultation,
No matter where you are.
Know More Get Started Here
4.6 Stars
based on 11 reviews
4 Stars
based on 4 ratings
5 Stars
based on 10 ratings